Как меняется скелет современного человека: самые необычные факты

Кости современных людей за последние тысячелетия стали менее плотными, выяснили ученые. Уменьшилась нижняя челюсть, что позволило произносить больше сложных звуков. Зато относительно недавно человеческий скелет пополнился новой костью. Теперь у многих их 208, а не 207.
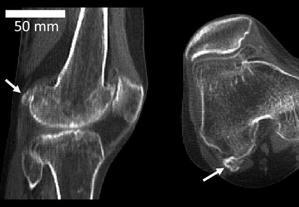
Подпорка для колена
Миллионы лет назад, на заре становления человеческого вида, из колена исчезла за ненадобностью маленькая косточка — флабелла. В последнее время ее снова начали находить.
Флабелла — одна из сесамовидных костей, располагающихся в сухожилиях. У животных она сформировалась примерно двести миллионов лет назад, чтобы придать прочности суставам, защитить сухожилие от повреждения при сильных нагрузках. Считается, что у человека эта кость повышает механическое сопротивление икроножной мышцы. Но зачем это нужно?
Ученые из Имперского колледжа Лондона (Великобритания) проанализировали 66 научных работ начиная с 1875 года, содержащих сведения о флабелле. Выяснилось, что она встречается в 36,8 процента случаев чаще у азиатов, жителей Океании и Южной Америки, а если брать в расчет половой признак, то предпочтительнее у мужчин. В целом в 2018 году эта кость распространена в человеческой популяции в 3,5 раза чаще, чем век назад — в 1918-м.Рост флабеллы обусловлен генетически, но вот ее окостенение у всех происходит в разном возрасте и, возможно, зависит от механических причин. Чаще ее встречают у людей после 70 лет, но она может проявиться уже у 12-летних.Обычно флабелла появляется в обеих коленях и служит причиной осложнений после хирургических операций по замене суставов. В имплантате ее присутствие не учитывают, и это вызывает боль при ходьбе. В итоге «лишнюю» кость приходится удалять.Замечено также, что у людей с флабеллой нередко встречаются некоторые нейропатические заболевания, а риск остеоартрита колена увеличивается в два раза. Но что причина, а что следствие, пока неясно.

Флаббела — крошечная кость в колене — стала появляться у людей все чаще за последние 150 лет
Цена оседлости
Скелет современного человека более легкий по сравнению со скелетом предковых форм. Это выяснили ученые из Великобритании, США, Германии и Южной Африки. На этот счет существует специальный термин — «грацилизация». Он подразумевает уменьшение силы и массы костей по отношению к массе тела.
О том, что современные люди более «грацильные», чем древние гоминиды, известно давно. Антропологи считали это результатом смены образа жизни, где физической активности стало гораздо меньше из-за автоматизации труда. Но насколько именно полегчали наши кости?Ученые проанализировали губчатую ткань костей верхних и нижних конечностей у нескольких вымерших гоминид, начиная с австралопитека, шимпанзе и современного человека. Им удалось показать увеличение грацильности от более древних к поздним представителям рода, но не плавное: кости неандертальцев и современных им разумных людей были почти такие же плотные, как кости древних homo.А вот нынешние люди отличаются меньшей плотностью костей даже по сравнению с прямыми предками, жившими во времена последнего оледенения 20 тысяч лет назад. Причем кости нижних конечностей подверглись грацилизации в большей степени. Это подкрепляет гипотезу авторов работы о том, что причина анатомических изменений — оседлый образ жизни. Расплата за стройную фигуру — остеопороз костей.

Сравнение плотности губчатой ткани костей верхних и нижних конечностей у различных гоминид. У современных людей плотность резко снижается
Челюсть отвалилась
Раньше считалось, что разнообразие человеческих языков не связано с анатомией. Однако международный коллектив ученых, включая представителей Казанского федерального университета, доказал обратное. По их мнению, губно-зубные звуки «ф» и «в» появились в речи после неолитической революции, примерно шесть тысяч лет назад, благодаря тому, что нижняя челюсть уменьшилась.
Возникновению человеческой речи предшествовала длительная эволюция скелета и тела, ряд ключевых усовершенствований, таких как опущенная гортань. Все это позволило изобрести тысячи звуков, которые вылились в тысячи существующих языков. Однако, как предположил американский лингвист Чарльз Хоккет, звуки «ф» и «в» тогда отсутствовали. Люди, жившие охотой и собирательством, постоянно пережевывающие сырую растительную пищу, не могли их произносить из-за слишком массивной нижней челюсти и прикуса «зубы к зубам».Расчеты показали, что губно-зубные звуки требуют на 30 процентов меньше мускульных усилий, если прикус позволяет верхней губе касаться нижних зубов. Ученые построили модель и выяснили, что шесть-восемь тысяч лет назад губно-зубные звуки встречались с вероятностью три процента среди примитивных индоевропейских языков, а среди современных — с вероятностью 76 процентов.Авторы работы полагают, что «инновационный» прикус начал распространяться в обществах, которые перешли на приготовление пищи.

Слева — череп современного человека, справа — неандертальца. У людей нижняя челюсть меньше, а прикус позволяет верхней губе касаться нижних зубов.
Полегчали
В статье 2010 года антрополог Кристина Шаффлер из Института биохимии и биологии Потсдамского университета (Германия) обратила внимание на то, что скелет современных детей становится менее прочным. Генетические причины исследовательница отвергла, так же как и недостаток питания. Остается одно объяснение — низкая физическая активность.
Спустя несколько лет Шаффлер с коллегами повторила исследование, взяв для сравнения данные о больших группах школьников из Германии и России возрастом шесть-десять лет с 2000-го по 2010 год. Ученые проанализировали рост, индекс массы тела и высчитали внешнюю прочность скелета, исходя из соотношения ширины плечевой кости и роста.Они заметили, что индекс массы тела у немецких школьников продолжает повышаться последние два десятилетия, а прочность скелета — снижаться. У российских школьников, которые больше двигаются, чаще ходят пешком, больше занимаются спортом, эти параметры несколько лучше. Однако у мальчиков прочность костей имеет тенденцию к ухудшению.Ученые предполагают, что хрупкость скелета и уменьшение костей плеча — это адаптация к сидячему образу жизни и увеличению жировой ткани в теле.Напечатал, вставил, пошел. Создан прорывной метод лечения сложных переломов
Бегом от стресса
Еще один интересный факт о скелете: оказывается, он играет важную роль во время стресса. Перед лицом опасности мозг дает команду реагировать: убегать или защищаться. При этом повышается температура тела, увеличивается расход энергии, учащается сердцебиение. Все это происходит с помощью различных гормонов.
Как показали ученые из США и Индии, в этом процессе участвует и гормон остеокальцин, вырабатываемый костными клетками остеобластами. Специалисты проводили эксперименты на мышах, вызывая у них острый стресс в ответ на вынужденное заключение и удар током и замеряя уровень этого гормона. В среднем у подопытных животных в стрессе показатель вырос на 50 и 150 процентов соответственно. Авторы причислили его к гормонам фитнеса и высказали идею разработать на его основе лекарства от старения.

Мозг заставляет тело реагировать на опасность с помощью гормонов. Когда поступает сигнал, кости скелета тоже вырабатывают активную форму гормона остеокальцина, что помогает справиться со стрессом.