Эволюция полным ходом. Как тело человека изменилось за сто лет
/ Перейти в фотобанк

Перейти в фотобанкЧитать ria.ru в У современных людей чаще встречается срединная артерия руки и реже вырастают зубы мудрости, чем у тех, кто жил век назад, установили австралийские специалисты. Другие исследователи обнаружили в человеческом скелете новые кости. Значит, мы до сих пор эволюционируем, сделали вывод ученые. Как именно — в материале РИА Новости.
Новая артерия
На ранних сроках беременности у всех человеческих зародышей в районе будущего предплечья формируется срединная артерия. Ее задача — помогать крови проходить по центру растущих рук и питать их. Как правило, к восьмой неделе эмбрионального развития она регрессирует, а ее место занимают лучевая и локтевая артерии.
Однако так происходит не всегда. Еще в середине XVIII века анатомы заметили: у некоторых людей дополнительный сосуд функционирует всю жизнь. Их долю в популяции оценивали не более чем в десять процентов.
Австралийские ученые решили обновить сведения и проанализировали строение рук 78 умерших мужчин и женщин в возрасте от 51 до 101 года. Как выяснилось, за последние 25 лет дополнительный сосуд у людей встречается все чаще. Специалисты обнаружили его у 26 человек — это примерно 33,3 процента исследованных. И большинство из них родились после 1940-го.

Срединная артерия формируется на ранних сроках беременности у всех человеческих зародышей. Ее задача — помогать крови проходить по центру растущих рук и питать их. Как правило, к восьмой неделе эмбрионального развития она регрессирует, а ее место занимают лучевая и локтевая артерии. Однако, как выяснили австралийские ученые, сейчас этот дополнительный сосуд все чаще продолжает функционировать у взрослых людейСравнив полученные данные с результатами предыдущих 47 исследований, ученые пришли к выводу: доля обладателей дополнительного сосуда выросла за последний век на 20 процентов. Если тенденция сохранится, то уже через 80 лет он будет у большинства.Механизм регрессии срединной артерии у зародыша регулируют особые гены. А значит, в работе участков ДНК произошли изменения — это говорит о том, что эволюция человека продолжается. В любом случае пользы от дополнительного сосуда больше, чем вреда. Например, он выступает как «аварийный канал» при травмах локтевой или лучевой артерий.

21 октября 2020, 11:17Медики обнаружили в человеческом организме неизвестный науке орган
Исчезающие зубы
Еще один важный признак продолжающейся эволюции — отсутствие зубов мудрости почти у 20 процентов европейцев. Все чаще специалисты не наблюдают у пациентов даже зачатков этих моляров. А если они и есть, то занимают неправильное положение или не прорезываются до конца. Это вписывается в общий эволюционный тренд и связано, скорее всего, с изменением рациона, отмечают американские, австралийские и скандинавские исследователи.
Дело в том, что процесс становления Homo sapiens — своего рода история уменьшения зубов. У наших предков были большие моляры в задней части массивной челюсти, которая давала возможность долго жевать твердую пищу. Примерно 2,6 миллиона лет назад диета стала разнообразнее: к растительной пище добавили мясо. Еще через два миллиона лет люди освоили огонь и научились термически обрабатывать еду. Время жевания сократилось в разы, размеры челюсти и зубов уменьшились, а задние моляры — те самые зубы мудрости — и вовсе стали не нужны.

У 20 процентов европейцев зубы мудрости отсутствуют. А их обладатели часто сталкиваются с тем, что они либо занимают неправильное положение (как на рисунке), либо не прорезываются до концаЭтот тезис ученые из Гарвардского университета (США) подтвердили экспериментально. Набрали несколько десятков взрослых добровольцев и разделили на группы. Одни ели мясо, вторые — батат, третьи — морковь и свеклу. Продукты либо не обрабатывали вообще, либо крайне незначительно. Ученые измеряли, сколько сил прикладывали испытуемые, чтобы прожевать разные продукты.Авторы работы подсчитали: переход с корнеплодов на мясную диету сократил время жевания на 17 процентов, плюс усилий нужно на 26 процентов меньше. Поэтому размеры челюсти и зубов у древних людей сократились. В будущем, по мнению ученых, задние моляры могут вообще исчезнуть за ненадобностью.

9 августа 2019, 13:47НаукаБританские ученые выяснили, как заставить зубы вырасти заново
Косточка нашлась
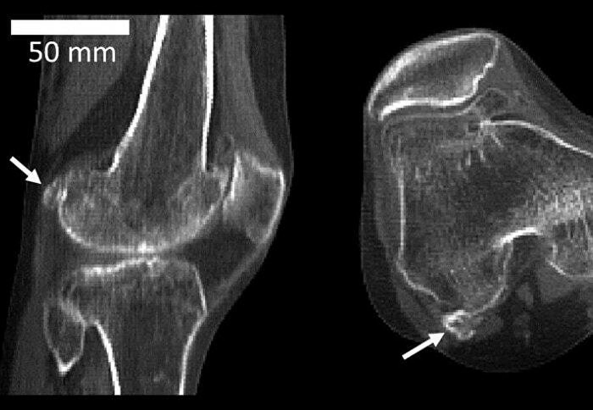
За последние 150 лет медики почти в три с половиной раза чаще наблюдают у пациентов фабеллу — маленькую косточку, которая прикрывает коленный сустав сзади. Она сильно мешала нашим предкам — снижала маневренность и гибкость сустава, поэтому встречалась очень редко.
Теперь же, как полагают специалисты, коленной чашечке понадобилась дополнительная защита: средний рост и вес людей увеличились, нагрузка возросла, и эта косточка необходима.Cовременный человек в среднем питается лучше, чем те, кто жил 100-150 лет назад. Люди сейчас выше и тяжелее — это спровоцировало развитие более длинных голеней и крупных икроножных мышц, что, в свою очередь, усилило давление на колено.

Фабелла — маленькая косточка, которая прикрывает коленный сустав сзади. За последние 150 лет она стала чаще встречаться у людейК такому выводу пришли исследователи из Имперского колледжа Лондона (Великобритания), проанализировав более 21 тысячи случаев фабеллы у жителей 27 стран. Как оказалось, если в начале прошлого века косточка встречалась примерно у 11,2 процента населения, то к 2018 году — уже у 39.
По мнению ученых, если тренд сохранится, то уже через сто лет фабелла будет у большинства людей на планете.

11 февраля 2020, 08:00НаукаКак меняется скелет современного человека: самые необычные факты
Люди стали холоднее
Еще одно важное и малозаметное изменение за последние 150 лет — снижение температуры тела. Как обнаружили ученые из Стэнфордского университета (США), за этот период люди остыли примерно на 0,4 градуса Цельсия. Специалисты проанализировали данные, собранные с 1862-го по 2017 год, и выяснили, что начиная с 1860-го средняя температура тела уменьшалась на 0,003-0,0043 градуса каждые 12 месяцев. Так, мужчины, родившиеся в нулевые нынешнего века, на 0,59 градуса холоднее, чем те, кто появился на свет в начале XIX века. Температура современных женщин на 0,32 градуса Цельсия ниже, чем у родившихся в конце XIX — начале XX столетия. Причем цифры не менялись даже при учете индекса массы тела, роста и расы участников.

Сравнение средней температуры тела мужчин и женщин, родившихся в период с 1800-х по 2000-е. По подсчетам ученых, начиная с 1860 года этот показатель уменьшался на 0,003-0,0043 градуса Цельсия каждые 12 месяцевПо мнению авторов работы, объяснений тут несколько. Во-первых, за последние 150 лет люди в целом стали более здоровыми — благодаря стремительному развитию медицины и повышению уровня жизни. А значит, вероятность развития воспалений с повышением температуры у нас в среднем ниже, чем у тех, кто жил в прошлом и позапрошлом веках. Во-вторых, охлаждение человека, возможно, связано с современными удобствами. Кондиционеры и системы отопления круглый год поддерживают в помещениях примерно одинаковую температуру воздуха. Как следствие, организму не нужно расходовать дополнительную энергию для терморегуляции.